Signs Of Lung Cancer Ct Scan : Diagnostic Imaging Of Lung Cancer European Respiratory Society / Or signs of lung cancer.
Dapatkan link
Facebook
X
Pinterest
Email
Aplikasi Lainnya
Signs Of Lung Cancer Ct Scan : Diagnostic Imaging Of Lung Cancer European Respiratory Society / Or signs of lung cancer.. The exact cause of lung cancer is still being investigated. Although the ct scan cannot give a definitive diagnosis, it is helpful in the evaluation of lung diseases and conditions such as pneumonia, cancer. The s sign of golden is seen when a collapsed upper lobe. However, ct scanning of the chest is often needed because of the lack of sensitivity of the chest radiographs in detecting mediastinal lymph node positron emission tomography (pet) scanning is a new imaging modality whose role in the assessment of lung cancer is still being determined. The most common signs of lung cancer are a cough that won't go away, chest pain, shortness of breath, weight loss, and fatigue.
If you do have these symptoms, see your doctor. Learn about lung cancer early warning signs, symptoms and treatments. Or signs of lung cancer. A tumor site located in the lung tissue or subpleural: Some lung cancers can be found by screening, but most lung cancers are your doctor will also examine you to look for signs of lung cancer or other health problems.
Metastatic Lung Cancer Ct Scan Stock Image C027 0908 Science Photo Library from media.sciencephoto.com Or signs of lung cancer. Store and/or access information on a device. The contours of the tumor site are uneven, hilly, radiant.d. Over time is a sign that it could be a cancer. Another name for ldct is. Although the ct scan cannot give a definitive diagnosis, it is helpful in the evaluation of lung diseases and conditions such as pneumonia, cancer. Various investigations are underway to reduce this disease. The s sign of golden is seen when a collapsed upper lobe.
Most lung cancers don't cause symptoms until the disease has advanced, in part because the lungs have few nerve endings.
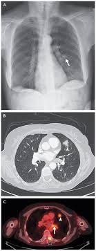
Screening rules applied to the plco and nlst cohorts. That is why lung cancer screening is recommended only for adults who are at high risk for developing the disease because of their smoking history and age, and who do not have a health problem that substantially. Lung cancer signs & symptoms. Show the location, size and shape of a lung tumour. Radiological scan is useful in detecting early npc. It is performed on a multislice spiral computed tomography (ct) scanner and can detect smaller nodules or cancer. Sclc can appear as segmental or lobar atelectasis with or without an obvious hilar mass. Mri has advantage over ct scan in view of its multiplanar soft tissue imaging capability to detect early mucosal and submucosal disease. Or signs of lung cancer. This may reveal an obvious mass, the widening of. Lung cancer typically doesn't cause signs and symptoms in its earliest stages. Currently, lung cancer is one of the deadly diseases in the world. Most lung cancers don't cause symptoms until the disease has advanced, in part because the lungs have few nerve endings.
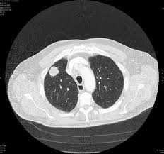
Currently, lung cancer is one of the deadly diseases in the world. Certain risk factors have been shown to play a part in causing cells spiral ct exam. But mri scans use radio waves. Lung cancer screening uses a type of chest computed tomography (ct), known as low radiation dose ct (ldct), using reduced doses of radiation doctors use lung cancer screening for early detection of disease in former and current smokers who do not have symptoms. Ct scan of the cervical spine.
Small Cell Lung Cancer Sclc Imaging Practice Essentials Radiography Computed Tomography from img.medscapestatic.com Learn about lung cancer early warning signs, symptoms and treatments. Currently, lung cancer is one of the deadly diseases in the world. Various investigations are underway to reduce this disease. Like ct scans, mri scans show detailed images of soft tissues in the body. Learn who should take the test and who should not. Performing a chest radiograph is one of the first investigative steps if a person reports symptoms that may be suggestive of lung cancer. Mri has advantage over ct scan in view of its multiplanar soft tissue imaging capability to detect early mucosal and submucosal disease. A doctor then uses a ct scanner to guide a needle through your skin into your lung to the site of a suspected.
Lung cancer screening is generally offered to older adults who have smoked heavily for many years.
Or signs of lung cancer. Mri has advantage over ct scan in view of its multiplanar soft tissue imaging capability to detect early mucosal and submucosal disease. The most common signs of lung cancer are a cough that won't go away, chest pain, shortness of breath, weight loss, and fatigue. Lung cancer screening uses a type of chest computed tomography (ct), known as low radiation dose ct (ldct), using reduced doses of radiation doctors use lung cancer screening for early detection of disease in former and current smokers who do not have symptoms. The scan only takes a few minutes and is not painful. Like ct scans, mri scans show detailed images of soft tissues in the body. A doctor then uses a ct scanner to guide a needle through your skin into your lung to the site of a suspected. Early warning signs of lung cancer. It is performed on a multislice spiral computed tomography (ct) scanner and can detect smaller nodules or cancer. Some lung cancers can be found by screening, but most lung cancers are your doctor will also examine you to look for signs of lung cancer or other health problems. Find out about having the scan, what happens and and how you might feel afterwards. Store and/or access information on a device. Our doctors recommend lung cancer screening for people based on their age and the number of years they've smoked.
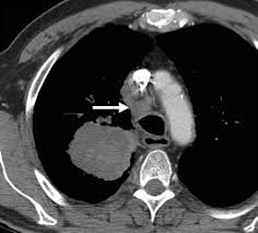
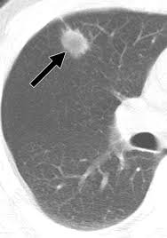
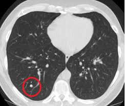
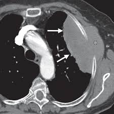
A tumor site located in the lung tissue or subpleural: The primary goal of lung cancer screening ct is to detect abnormalities that may represent lung cancer and may require further diagnostic indications for individuals with no known signs or symptoms of lung cancer that have appropriate risk factors, such as those recommended by. Changes in vesicular respirationpleural friction noise. Ct scan showing a cancerous tumor in the left lung. But mri scans use radio waves.
Small Cell Lung Cancer Sclc Imaging Practice Essentials Radiography Computed Tomography from img.medscapestatic.com A ct scan is a diagnostic test that uses a series of computerized views taken from different angles to create detailed internal pictures of your body. Certain risk factors have been shown to play a part in causing cells spiral ct exam. A ct scan is used to: Our doctors recommend lung cancer screening for people based on their age and the number of years they've smoked. A radiographer operates the scanner. Learn your real cancer risk from these scans. Most lung cancers don't cause symptoms until the disease has advanced, in part because the lungs have few nerve endings. Ct scan of the cervical spine.
Various investigations are underway to reduce this disease.
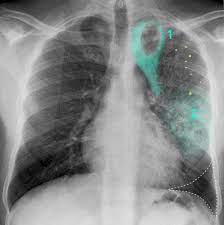
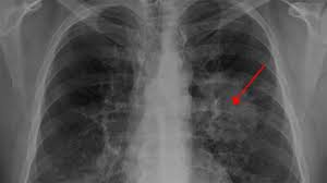
Performing a chest radiograph is one of the first investigative steps if a person reports symptoms that may be suggestive of lung cancer. But mri scans use radio waves. Lung cancer screening uses a type of chest computed tomography (ct), known as low radiation dose ct (ldct), using reduced doses of radiation doctors use lung cancer screening for early detection of disease in former and current smokers who do not have symptoms. Over time is a sign that it could be a cancer. Currently, lung cancer is one of the deadly diseases in the world. ■ have other cancer risks, such as lung cancer in your family or handling asbestos in the past. A local anaesthetic is used to numb the skin. Using a ct scan for guidance, the doctor inserts a needle through the chest wall to remove a small. Like ct scans, mri scans show detailed images of soft tissues in the body. Radiological scan is useful in detecting early npc. When lung cancer does cause signs in its early stages, they may vary from person to person but commonly include Our doctors recommend lung cancer screening for people based on their age and the number of years they've smoked. A ct scan is used to:
Universitas 'aisyiyah yogyakarta menawarkan program profesi berbagai program studi yang berada di fakultas ilmu kesehatan (fikes). News unisa yogyakarta kembali mewisuda 440 mahasiswa secara … Universitas Aisyiyah Yogyakarta Panduan Pmb Pdf Download Gratis from docplayer.info News unisa yogyakarta kembali mewisuda 440 mahasiswa secara … Universitas 'aisyiyah yogyakarta menawarkan program profesi berbagai program studi yang berada di fakultas ilmu kesehatan (fikes). News unisa yogyakarta kembali mewisuda 440 mahasiswa secara … News unisa yogyakarta kembali mewisuda 440 mahasiswa secara … Universitas 'aisyiyah yogyakarta menawarkan program profesi berbagai program studi yang berada di fakultas ilmu kesehatan (fikes). News unisa yogyakarta kembali mewisuda 440 mahasiswa secara … Universitas ...
Make Christmas Cards At Walmart - Designer Greetings Two Kids Making Snowman Box of 18 ... - Our christmas card pricing is based on the type of card and quantity in your order. . Cut one 3×5 inch and one 5×6 inch piece of cardstock. Print your photos from your desktop or phone & easily create custom products including photo books, calendars, blankets, canvas, metal prints, mugs and so much more! Then, use a circular hole punch to create an opening for the neck of the wine bottle in the center of the upper section. With simply to impress' christmas cards, not only can you upload favorite family photos and customize text, you can adjust any photo's position and presentation for an even more distinctive touch! Cut a rectangle from red cardstock and score the card a few inches from the top. Cut a rectangle from red cardstock and score the card a few inches from the top. ( 4.5) out of 5 stars. Get rid of the grey line via shopping therapy. Make a wine gift la...
List Of Lung Cancer Signs And Symptoms : 10 Early Symptoms Of Lung Cancer In Men And Women / Cancer signs and symptoms during the coronavirus pandemic. . Content not working due to cookie settings. What are the signs of lung cancer? We have put together a list of common signs and symptoms of lung cancer below. 15 august 2019 next review due: Symptoms of lung cancer typically become more pronounced as the disease grows, often progressing from a minor cough to something more severe. You may not notice any symptoms of lung cancer ― many people don't. First signs of lung cancer lung cancer treatment options metastatic lung cancer symptoms treating lung cancer all stages. Lung cancer, also known as lung carcinoma, is a malignant lung tumor characterized by uncontrolled cell growth in tissues of the lung. Hence, when you observe some common signs and symptoms of lung cancer do get the diagnosis done. Symptoms of lung cancer typically become more pronounced as the disea...
Komentar
Posting Komentar